Trị mụn mủ bằng công nghệ Oxy-Led tại Thẩm mỹ viện Kangnam là phương pháp trị mụn mủ hiệu quả và tiên tiến nhất hiện nay. Không chỉ giúp bạn nhanh chóng loại bỏ hoàn toàn mụn mủ lấy lại làn da tươi sáng mịn màng mà Oxy-Led còn được FDA kiểm chứng về độ an toàn với liệu trình điều trị mụn khoa học, nhanh chóng, không để lại sẹo, không tái phát.

Trị mụn mủ hiệu quả bằng công nghệ Oxy-Led
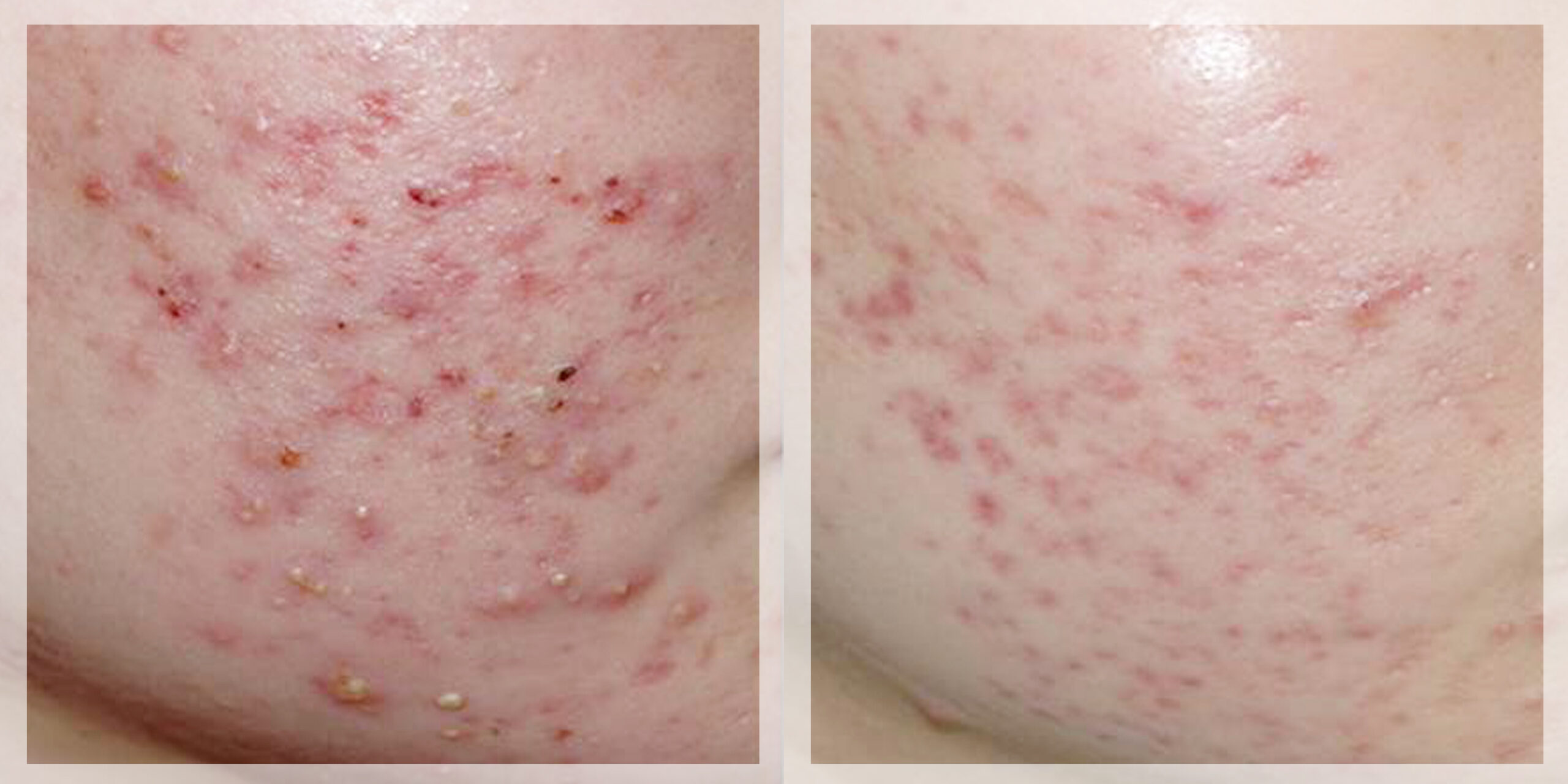
Làm sao để trị mụn mủ hiệu quả nhất? Như các bạn đã thấy thì trong tất cả các loại mụn thì mụn mủ được liệt vào là một trong những loại mụn khó chữa nhất. Mụn mủ là mụn có phần chân màu đỏ, phần đầu có chứa mủ màu trắng. Mụn mủ thường sưng to và nhô cao khỏi bề mặt da, gây cảm giác đau nhức, khó chịu cho người bệnh.

Mụn mủ gây cảm giác đau nhức cho người bệnh
Loại bỏ hoàn toàn mụn mủ không phải là điều dễ dàng, cách điều trị mụn mủ là phải kết hợp được ở bên trong lẫn bên ngoài mới có thể mang lại hiệu quả tuyệt đối. Theo các chuyên gia thẩm mỹ, để nhanh chóng loại bỏ mụn mủ lấy lại làn da trắng sáng, mịn màng, bạn nên áp dụng công nghệ trị mụn Oxy-Led.
Xem ngay:Thẩm mỹ Thái Lan– Thay đổi nhan sắc, làm chủ cuộc đời
Triệt tiêu hoàn toàn mụn mủ
Ánh sáng đèn Led với những bước sóng cao tác động trực tiếp vào từng chiếc mụn, loại bỏ hoàn toàn nhân mụn giúp triệt tiêu hoàn toàn những nốt mụn xấu xí trả lại cho bạn làn da trắng sáng, đẹp mịn màng, kết quả duy trì vĩnh viễn.
Ngăn ngừa mụn mủ không tái phát trở lại

Không chỉ giúp loại bỏ hoàn toàn mụn mủ, điều trị bằng công nghệ Oxy Led, mụn sẽ không có cơ hội tái phát trở lại. Có được điều này là do áp dụng công nghệ Oxy Jet cung cấp đến 98% oxy tươi và collagen giúp làn da khỏe từ sâu bên trong, giúp kết quả trị mụn duy trì lâu dài, làn da đẹp mọi lúc mọi nơi.
Tuyệt đối an toàn, không để lại sẹo và vết thâm
Điều trị mụn mủ bằng công nghệ Oxy-Led đã được cơ quan thực phẩm và dược phẩm Hoa Kỳ chứng nhận về hiệu quả và tính an toàn tuyệt đối. Oxy-Led có khả năng định vị và khoanh vùng chính xác vị trí cần điều trị. Vì vậy, không gây xâm lấn, không gây kích ứng da, an toàn tuyệt đối. Bên cạnh đó, ánh sáng hồng được phát ra từ công nghệ giúp tái tạo, làm mịn da, chống thâm và ngừa sẹo một cách hiệu quả.
Làn da đẹp mịn màng, săn chắc và khỏe mạnh hơn
Với sự kết hợp của tinh chất I Peel và công nghệ Oxy Jet, làn da sẽ được cung cấp các dưỡng chất cần thiết cho quá trình tái cấu trúc và phục hồi. Vì vậy, làn da sẽ mịn màng, săn chắc và khỏe mạnh hơn rất nhiều.
Nhanh chóng, không mất thời gian nghỉ dưỡng
Với 1 liệu trình điều trị khoảng 4 – 6 lần, mỗi lần 30 – 60 phút, mụn mủ sẽ được loại bỏ hoàn toàn. Hơn nữa, sau quá trình điều trị, bạn có thể trở về nhà ngay mà không mất thời gian ngỉ dưỡng.
Trường hợp nào nên trị mụn mủ bằng Oxy-Led
Bị mụn mủ và vết thâm mụn ở cả nam và nữ
Đã điều trị bằng phương pháp thông thường nhưng không khỏi
Mong muốn trị mụn mủ tận gốc, nhanh chóng
Tư vấn, thăm khám
Trước tiên, bạn sẽ được các bác sĩ thăm khám, soi da và xác định tình trạng và mức độ mụn mủ có trên làn da của bạn. Qua đó, đưa ra phương pháp và liệu trình sao cho phù hợp với từng người.
Làm sạch và sát khuẩn vùng da điều trị

Làm sạch da vùng điều trị trước khi điều trị
Tiếp theo, bạn sẽ được các chuyên viên làm sạch và sát khuẩn vùng da cần điều trị. Bước này sẽ giúp làn da được hấp thụ các tinh chất cũng như bước sóng công nghệ nhanh và dễ dàng hơn.
Xem ngay: Nâng ngực Thái Lan – thay đổi diện mạo với vòng 1 ước mơ
Thẩm thấu tinh chất I Peel

Khách hàng được thẩm thấu tinh chất I Peel
Thẩm thấu tinh chất I Peel để thanh lọc da, giúp giảm lượng dầu thừa có trong da, đồng thời loại bỏ hoàn toàn mọi vi khuẩn. Bên cạnh đó, sử dụng tinh chất I Peel còn giúp thúc đẩy quá trình tự làm lành da, không những mụn mủ được loại bỏ một cách hoàn toàn mà còn ngăn chặn vết thâm và sẹo lõm hiệu quả.
Áp dụng công nghệ Oxy Jet

Áp dụng công nghệ Oxy Jet trong việc điều trị
Sau khi thẩm thấu tinh chất I Peel, bạn sẽ được áp dụng công nghệ Oxy Jet. Oxy Jet cung cấp đến 98 % Oxy tươi và collagen giúp da khỏe mạnh từ ngay bên trong, bề mặt da sáng mịn và săn chắc.

Chiếu ánh sáng Led để loại bỏ tận gốc mụn
Ánh sáng đèn Led với bước sóng mạnh tác động chính xác vào từng nốt mụn mủ, tiêu diệt hoàn toàn nguyên nhân gây mụn. Mụn mủ được loại bỏ hoàn toàn giúp bạn tự tin hơn trong công việc và trong cuộc sống.
Thoa kem dưỡng da sau điều trị

Khách hàng được đắp mặt nạ dưỡng da sau điều trị
Cuối cùng, chuyên viên sẽ tiến hành đắp mặt nạ dưỡng da nhằm thúc đẩy quá trình tái tạo làn da, giúp da phục hồi tổn thương nhanh nhất mà không để lại vết thâm, loại bỏ hoàn toàn sẹo xấu.


HƯỚNG DẪN CHẾ ĐỘ CHĂM SÓC
Câu hỏi tư vấn: “Xin chào chuyên mục tư vấn Thẩm mỹ viện Kangnam. Vì cuối cấp rồi, việc học của em bận rộn hơn nhiều, em thường xuyên phải thức khuya nên trên mặt mọc nhiều mụn mủ lắm ạ. Ban đầu chỉ là 1, 2 cái thôi nhưng có lẽ là do chăm ...
Bạn bị mụn mủ mà chưa tìm ra cách chữa trị riêng cho mình. Với 3 cách chữa trị mụn mủ đơn giản và hiệu quả nhất tại nhà dưới đây sẽ giúp bạn bổ sung thêm kiến thức trị mụn mủ vào sổ tay của bạn đấy. Hãy tìm hiểu cùng chúng tôi nhé. 3 ...
Mụn mủ là một trong những loại mụn khá cứng đầu và gây cảm giác khó chịu cho người bị. Và để loại bỏ được chúng thì không phải là điều đơn giản. Bài viết sau đây sẽ mách bạn cách trị mụn mủ nhanh nhất theo lời khuyên của chuyên gia, hãy cùng tham ...
Mụn mủ là một trong những loại mụn khá nguy hiểm và ảnh hưởng nghiêm trọng đến tính thẩm mỹ của da. Đặc biệt, một số trường hợp còn gây đau nhức, ngứa và nhiễm trùng cho người bệnh. Vậy có cách nào giúp trị mụn mủ hiệu quả nhanh chóng? Bài viết dưới đây ...
Câu hỏi tư vấn Xin chào chuyên mục tư vấn thẩm mỹ viện Kangnam. Em là Thu Ngân, làn da của em tương đối nhạy cảm, sau khi lên Hà Nội học, do tiếp xúc với nhiều bụi bẩn, hơn nữa em lại không biết cách chăm sóc nên trên da mặt mọc không ít ...
Câu hỏi tư vấn Xin chào chuyên mục tư vấn thẩm mỹ viện Kangnam. Cách đây 2 tháng, trên mặt em có nhiều mụn mủ lắm ạ, em có dụng thuốc đặc trị trong vòng 1 tháng, mụn cũng giảm đi 1 chút nhưng chỉ 1 thời gian sau mọc trở lại và ngày càng ...
Comments are closed.
Hãy để lại bình luận của bạn bên dưới!
Nhập thông tin của bạn
×